你知道吗?最近我在网上看到一个牙齿打桩的视频,简直让我大开眼界!这不,今天就来和你聊聊这个话题,让你也了解一下牙齿打桩的全过程,是不是很期待呢?
牙齿打桩,究竟是个啥?

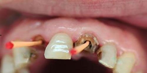
首先,得先弄明白什么是牙齿打桩。牙齿打桩,顾名思义,就是在牙齿上打一个桩,然后在其上安装假牙。这通常是因为牙齿因为各种原因(如蛀牙、断裂等)无法修复,只能通过打桩的方式来恢复牙齿的功能。
牙齿打桩,为什么要这么做?

你可能要问,为什么不能直接补牙或者做假牙呢?其实,牙齿打桩有它独特的优势。首先,它能够更好地固定假牙,让假牙更加稳固,不易脱落。其次,打桩可以增加牙齿的支撑力,让牙齿恢复到原来的状态。再者,打桩后的牙齿更加美观,看起来和真牙没什么两样。
牙齿打桩,全过程揭秘!

那么,牙齿打桩的全过程是怎样的呢?下面,我们就来一探究竟。
1. 术前准备:医生会先对你的牙齿进行检查,确定是否适合打桩。如果适合,医生会为你制定详细的手术方案。
2. 局部麻醉:为了让你在手术过程中不感到疼痛,医生会先对你进行局部麻醉。
3. 打桩:医生会用专门的工具在牙齿上打一个孔,然后将桩插入孔中。这个过程可能会有些不适,但不用担心,因为已经麻醉了。
4. 安装假牙:桩固定后,医生会在桩上安装假牙。这个过程需要一定的技术,所以一定要选择经验丰富的医生。
5. 术后护理:手术后,你需要注意口腔卫生,避免感染。同时,医生会给你一些术后护理的建议,比如不要吃过硬的食物等。
牙齿打桩,注意事项大盘点!
虽然牙齿打桩有很多好处,但也有一些注意事项需要你了解。
1. 选择正规医院:一定要选择正规医院进行牙齿打桩,以免手术过程中出现意外。
2. 术后护理:术后护理非常重要,一定要按照医生的建议进行。
3. 定期复查:打桩后的牙齿也需要定期复查,以确保假牙的稳固和口腔健康。
4. 生活习惯:术后一段时间内,尽量避免吃过硬的食物,以免影响假牙的稳固。
牙齿打桩,效果如何?
那么,牙齿打桩的效果究竟如何呢?根据相关数据,牙齿打桩的成功率非常高,大多数患者都能恢复到满意的效果。当然,效果也会因人而异,具体还需根据个人情况而定。
牙齿打桩是一种有效的牙齿修复方法,如果你有这方面的需求,不妨了解一下。当然,在决定之前,一定要咨询专业医生的意见,确保手术的安全和效果。希望这篇文章能对你有所帮助!
